预约
挂号
联系
我们
就诊
指南
常见
问题
返回
顶部
请输入关键字
全球首例入组完成!我院心脏大血管外科胡佳主任医师牵头国际多中心A型夹层远端良性重塑REFORM-TAD临床试验 2026.04.15

近日,由我院心脏大血管外科胡佳主任医师牵头开展的国际多中心A型夹层远端良性重塑REFORM-TAD临床试验,成功完成首例受试者入组。该研究将在中国大陆、中国台湾地区及欧洲共16家血管中心同步开展,为Stanford A型主动脉夹层全弓置换象鼻支架置入术后远端残余夹层扩张高风险的患者,带来新的治疗方案,也标志着我国在该领域的研究已与国际前沿接轨。

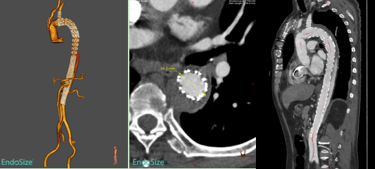
本次入组患者为60岁男性,1个多月前因急性Stanford A型主动脉夹层在我院接受“主动脉瓣交界悬吊+升主动脉及全弓置换+降主动脉象鼻支架置入+三尖瓣成形术”。术后1个月复查CTA提示:象鼻支架以远残余夹层,且夹层累及胸降主动脉、腹主动脉、右侧髂总及髂外动脉,真腔狭窄,假腔大,胸腹主动脉多发夹层破口,胸段肋间动脉以假腔供血为主。

from clipboard

术前CTA

术前,胡佳主任医师团队对患者病情进行了详尽的术前评估和反复讨论,经过精细影像学分析和手术模拟推演,制定了个体化手术治疗方案。术中,患者全麻后采用左侧股动脉穿刺建立通路,主动脉造影证实象鼻支架以远残余夹层真腔狭窄,存在多发内膜破口。手术选用近端直径30mm、远端直径24mm、长度290mm的A型夹层全腔内重建系统,其中覆膜段长度为120mm。支架近端锚定于象鼻支架内,远端锚定于肾下腹主动脉。手术过程顺利流畅,术后即刻造影显示胸段残余夹层近端破口有效覆盖,近端假腔不再显影,远端真腔扩张良好,手术治疗效果达到预期。

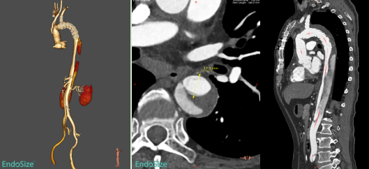
术后复查CTA进一步证实,患者残余夹层覆膜支架段内膜破口有效覆盖,假腔无血流,远端真腔扩张良好。

from clipboard

术后复查的CTA

急性Stanford A型主动脉夹层虽可通过紧急外科手术有效处理近端病变、挽救患者生命,但术后胸主动脉远端及腹主动脉常遗留残余夹层。胡佳主任医师团队基于国内外最新研究进展及团队系列前期成果,发现部分具备高危特征的患者(如胸段内膜破口、假腔占比优势且未血栓化、肋间动脉主要由假腔供血等),其残余夹层远期可扩张进展形成胸腹主动脉瘤,往往需要接受再次开胸开腹手术治疗,手术难度大风险高,严重威胁患者远期预后。

针对此类排除马凡综合征等结缔组织疾病的远期扩张高风险患者,在开放术后早期(开放手术30天后,夹层发病90天内)于象鼻支架远端置入支架系统,通过随访观测主动脉远端真腔和假腔体积、假腔血栓化程度等形态学指标变化,发现该方式可促进远端残余夹层真腔扩张、假腔缩减及血栓化,有助于远端主动脉实现良性重塑。目前,国内外尚无获批专用于治疗Stanford A型主动脉夹层外科术后远端残余夹层的支架系统,也缺乏针对外科术后早期介入干预(即对比“远端置入支架”与“单纯药物/常规随访”策略)的高质量随机对照试验证据。

此次由我院牵头的国际多中心随机对照REFORM-TAD临床试验,将系统评估新型支架系统安全性与有效性,为Stanford A型主动脉夹层术后残余夹层扩张高风险患者提供该干预策略的高质量循证医学证据。这不仅是我院心脏大血管外科临床与科研实力的集中体现,未来更有望为该类高危患者群体提供更安全、有效的微创治疗方案,显著改善患者远期预后。

据了解,四川大学华西医院大血管疾病微创治疗团队,是国内领先,且川内唯一的A型夹层全腔内修复治疗团队。团队于2019年完成国内外首例A型夹层全腔内重建手术,开创了"不开胸不开腹"治疗A型夹层术后残余夹层的新时代,并进行了包括Bentall术后复杂主动脉弓部夹层全腔内修复、"干瓣"TAVI联合全腔内修复杂交手术在内的多项技术突破,完成了多项全球创新的手术术式。至今完成超过200例A型夹层全腔内修复手术,手术量占全国总手术量1/5,成功率超过95%,较传统二次开胸开腹手术远期并发症发生率降低70%,再手术风险显著下降,是全球开展该术式例数最多的中心之一。
同时,团队联合门诊部(互联网管理办公室)全程与共病管理中心,首创建立"医护管"三元协同全程管理模式,打破"手术即终点"的传统模式,建立全生命周期管理体系。通过终身电子健康档案、标准化随访体系、多学科协同管理、AI智能血压监测、家院联动风险预警,将术后患者失访率从30%降至10%以下,血压控制达标率提升至85%以上,显著降低远期并发症和再手术风险,真正实现"一次建档、终身管理"。鉴于在主动脉微创治疗推广与全程管理模式创新作出的重要贡献,团队荣获四川省科技进步一等奖、中华医学科技奖等重要科技奖励,享有国际重要声誉。

编辑:刘榴 刘欢 来源:心脏大血管外科
基本信息填写
您的姓名:
联系方式:
电子邮箱:
问题类型:

select…

  • 内容无法访问
  • 信息不更新
  • 内容不准确
  • 错别字
  • 图片不准确
  • 其他
问题页面网址:
问题描述:
验证码: