预约
挂号
联系
我们
就诊
指南
常见
问题
返回
顶部
请输入关键字
解除关节置换术后“噩梦”——西藏自治区医院骨科成功实施高难度感染翻修术
2026.02.04

近日,在我院的全力支持下,西藏自治区医院(四川大学华西医院西藏医院)骨科团队,成功为一名饱受左膝关节置换术后感染折磨两年的患者阿某实施了首期高难度翻修手术,这标志着华西优质医疗资源在西藏再结硕果。

两年前,阿某因严重左膝骨关节炎在基层医院接受了全膝关节表面置换术,期待从此告别疼痛。然而术后,他的膝关节却开始反复肿胀、疼痛,活动严重受限,简单的行走都变得举步维艰。

“这两年里,膝盖就像一颗‘定时炸弹’,不知道什么时候就会肿起来、疼得走不了路。”阿某说,漫长的求医路,消耗的不仅是他的体力,更是对生活的热情。不仅行动不便,持续的治疗费用也给家庭带来了负担。

在几乎绝望之际,阿某慕名前往西藏自治区医院,找到了我院派驻专家关节外科谢锦伟副主任医师。经过病史询问及查体,结合辅助检查及穿刺培养明确诊断“假体周围感染”后,立即启动了与我院骨科的联动机制,经过两地充分的术前讨论后,最终计划行分期翻修治疗方案。

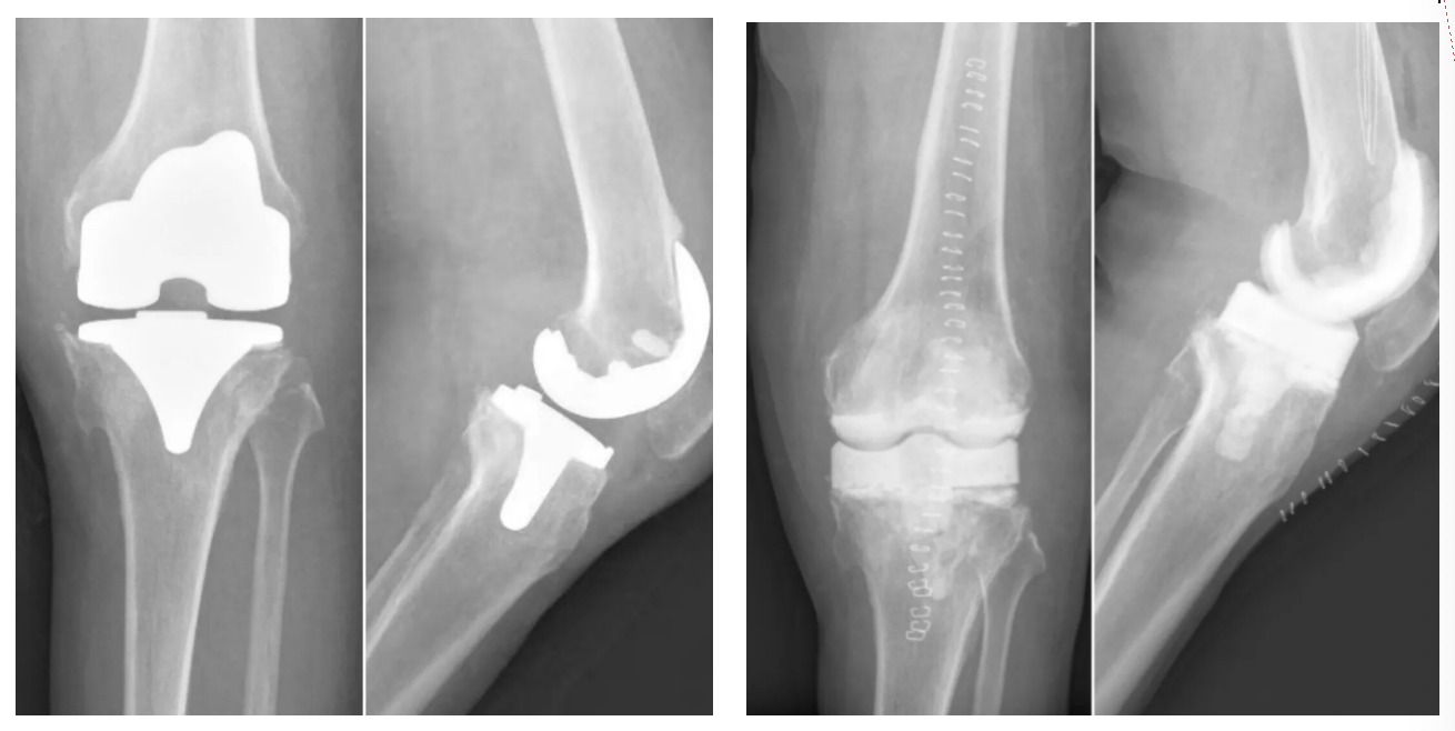
经过周密准备,谢锦伟团队为阿某实施了一期手术。手术目标明确——1.取出假体:将初次植入的已失效的人工关节取出;2.彻底清创:完整切除所有被感染的组织;3.植入“抗生素骨水泥临时假体”:该“占位器”能在局部持续释放高浓度抗生素,彻底净化关节环境,为二期手术植入全新的假体奠定坚实基础。“首期手术是决胜的关键,如同一次彻底的‘大扫除’。”谢锦伟比喻道。

from clipboard

(抗生素骨水泥临时假体置入)

术后,阿某恢复良好,持续的疼痛基本消失。“谢谢华西的专家们!没想到在西藏就能享受到和华西本部同样水平的医疗服务,这给我们带来了实实在在的便利!”阿某激动地说。

from clipboard

这台手术的成功,是“华西品牌”在雪域高原深度扎根的生动体现。作为华西派驻专家,谢锦伟表示:“我们始终坚持‘华西标准、西藏特色’,所有患者的手术均与本部保持同质化管理,坚持标准化诊疗,贯穿加速康复外科理念,确保为西藏百姓提供安全优质的医疗服务。”



编辑:袁婧 刘欢      来源:西藏自治区医院

基本信息填写
您的姓名:
联系方式:
电子邮箱:
问题类型:

select…

  • 内容无法访问
  • 信息不更新
  • 内容不准确
  • 错别字
  • 图片不准确
  • 其他
问题页面网址:
问题描述:
验证码: