近日,我院胃癌中心杨昆主任医师团队成功为一名开腹胃间质瘤术后复发患者,实施腹腔镜下复发胃间质瘤切除术。经文献检索确认,该手术系国际首例开腹胃间质瘤切除术后复发采用腹腔镜切除的病例报道,标志着我院在复杂腹腔镜肿瘤外科手术领域再获重要突破。
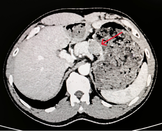
该患者数年前因胃间质瘤接受开腹手术,术后恢复良好。近期复查时,发现胃部原手术区域附近出现了肿瘤复发,病灶大小约3*3*2cm,再次手术成为最有效的治疗选择。尽管肿瘤体积不大,但患者首次手术是开腹手术,且复发肿瘤位于胃体上段后壁小弯侧,此类手术后,腹腔内易出现广泛粘连;加之患者首次开腹手术腹壁瘢痕长达约20cm,且形成明显瘢痕疙瘩,经皮肤科手术及放疗后腹壁瘢痕疙瘩才去除。结合原发肿瘤生长部位及患者皮肤瘢痕情况,可预见大网膜、胃壁、小肠、横结肠、肠系膜、脾脏、胰腺、肝脏及腹壁易形成广泛、致密粘连,而这种粘连会改变腹腔内正常解剖结构,给再次手术,尤其是腹腔镜微创手术带来巨大挑战。
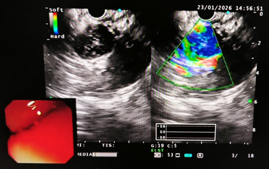
术前超声胃镜检查发现复发的胃间质瘤

术前腹部增强CT发现复发的胃间质瘤(红色箭头所示)
与患者及家属充分沟通并获得理解后,杨昆主任医师团队决定迎难而上,采用腹腔镜微创技术为患者实施复发胃间质瘤切除术,旨在减少开腹手术后可能导致的腹壁瘢痕疙瘩风险,进一步提升患者术后生活质量。术中情况与术前判断一致,患者腹腔内粘连严重,大网膜与腹壁、肝脏、胃、结肠及系膜广泛致密粘连,正常解剖层次难以辨认。手术由杨昆主任医师主刀,陈小龙副主任医师担任一助、张维汉副教授担任扶镜手,团队凭借精湛的技术和丰富的经验,使用超声刀等精细器械,如“剥丝抽茧”般逐层分离粘连,逐步恢复腹腔脏器正常解剖关系。在成功显露复发胃间质瘤后,团队精准确定切除范围,在完整切除复发肿瘤的同时,最大限度保留了健康的胃壁组织。随后延长脐下观察孔约3cm长切口完整取除肿瘤,术中切缘冰冻病理检查提示无肿瘤残留。整个手术过程出血量少,无脏器损伤。
术后,医疗组按照快速康复流程理念对患者进行治疗,患者恢复顺利,疼痛轻微,术后生活质量显著提升。术后第一天,患者即可下床活动,并很快恢复进食,充分体现了腹腔镜手术创伤小、恢复快的优势,得到患者和家属高度肯定。目前,患者已顺利康复出院。
以往,对于有开腹手术、腹腔粘连严重的患者,再次实施腹腔镜手术被认为是相对禁忌,或难度极高、风险极大的手术。此次高难度手术的成功,不仅为胃间质瘤复发的患者提供了创伤更小、恢复更快的治疗新选择,也展示了我院在处理复杂腹部外科疾病方面的雄厚技术实力。未来,我院胃癌中心将持续探索、推广先进微创技术,为更多患者提供更优质的医疗服务。