预约
挂号
联系
我们
就诊
指南
常见
问题
返回
顶部
请输入关键字
耳鼻咽喉·头颈外科成功救治一名侵犯颈总动脉及颈段气管的晚期复发甲状腺癌患者 2020.07.21

近日,我院耳鼻咽喉·头颈外科陈飞教授率头颈肿瘤修复与重建团队成功救治了一名侵犯颈总动脉及颈段气管的晚期复发甲状腺癌患者。

 

该患者5年间因罹患甲状腺癌,先后辗转于北京、上海、浙江等多家知名医院,共接受5次手术治疗、2个疗程的I131治疗。1年前患者肿瘤再次复发,行靶向治疗效果不佳,且肿瘤已包绕并侵犯右侧颈总动脉及颈段气管右侧壁。患者在前次手术医生建议下于我院耳鼻咽喉·头颈外科陈飞教授处就诊。

 

陈飞教授团队针对晚期复发头颈肿瘤的病人,能够独立进行血管、神经重建以及各种皮瓣修复重建技术,达到了国内一流,国际先进水平。能够在保证患者肿瘤完整切除的前提下,尽可能恢复功能和外观,改变了既往晚期头颈肿瘤需要多科进行会诊手术的模式,一定程度上节约了医疗资源。

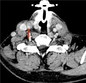
1:术前被肿瘤侵犯的动脉

术前,陈飞教授团队联合麻醉科陈泓羊主治医师对患者病情进行了充分评估,就术中颈总动脉处理、脑部血供维持、气道重建策略、循环维持等关键点展开了多次讨论,制定了严密的手术方案。630日,手术成功切除了复发的甲状腺癌、受肿瘤侵犯包裹长达8cm的颈总动脉、部分颈内静脉、锁骨下静脉、椎静脉以及被侵犯的颈段气管右侧壁。肿瘤完整切除后,在颈动脉转流管有效保证术侧脑血管灌注的情况下,进行了人工血管置换重建颈总动脉,显微缝合修补/重建受累静脉,恢复了颅内外正常血供。最后,应用右侧胸肩峰动脉穿支皮瓣同期修复了颈段气管缺损,手术历时4小时。手术后患者安全返回耳鼻咽喉·头颈外科病房,接受了近1周治疗和悉心护理,现已顺利康复出院。

2:术后皮瓣重建的气管壁 图3:术后人工血管重建的颈总动脉

陈飞教授长期致力于各类晚期、复发头颈肿瘤的挽救性手术。其领导下的头颈肿瘤修复与重建团队针对侵犯颈胸部大血管、气管、食管、神经、上纵隔、颅底、眶内的头颈部晚期/复发肿瘤具备成熟的治疗体系及丰富的临床经验。相关经验及研究成果已发表在《Head & Neck》、《British journal of oral and maxillofacial surgery》等国际知名头颈外科杂志。
作者:申恬 李林珂 编辑:史杰蔚
基本信息填写
您的姓名:
联系方式:
电子邮箱:
问题类型:

select…

  • 内容无法访问
  • 信息不更新
  • 内容不准确
  • 错别字
  • 图片不准确
  • 其他
问题页面网址:
问题描述:
验证码: